Por que alguns exames de rotina podem fazer mais mal do que bem
Muita gente marca check-ups regulares e aceita, quase no automático, uma lista extensa de exames. Só que depois descobre que vários exames de saúde a evitar em situações rotineiras trouxeram preocupação desnecessária, exposição à radiação ou investigações adicionais que não eram realmente precisas. Em pessoas saudáveis e com baixo risco, falsos positivos podem gerar ansiedade, levar a biópsias evitáveis e até desencadear tratamentos com custos e efeitos colaterais próprios.
Organizações médicas respeitadas, como Choosing Wisely e Harvard Health, vêm destacando quais exames de triagem não são recomendados para a maioria dos adultos saudáveis. O ponto central é saber exatamente quais são os cinco exames de saúde que, em geral, vale evitar quando não há sintomas — para focar no que de fato melhora sua saúde.

Por que os exames de rotina “por garantia” podem criar um efeito dominó
Vários exames parecem excelentes “no papel”, mas oferecem pouco benefício para quem não tem sintomas e não apresenta fatores de risco relevantes. Médicos alertam que certos exames de saúde a evitar podem iniciar uma sequência de retornos, repetição de testes e, em alguns casos, procedimentos invasivos — tudo com base em achados que acabam sendo inofensivos.
Evidências usadas por grandes entidades médicas indicam que pular alguns exames em pessoas de baixo risco pode reduzir danos sem aumentar a chance de perder problemas importantes. Saber quais são esses cinco exames ajuda você a tomar decisões mais inteligentes junto ao seu médico.
1. Tomografia de corpo inteiro (CT) — um dos exames mais desaconselhados sem sintomas
A tomografia computadorizada de corpo inteiro aparece com frequência nas listas de exames de saúde a evitar como rastreamento em pessoas sem queixas. O motivo é simples:
- envolve dose significativa de radiação
- costuma encontrar “manchinhas” pequenas e benignas
- esses achados podem gerar preocupação e levar a novos exames e procedimentos
Associações de radiologia e fontes como Harvard Health desaconselham o uso rotineiro desse tipo de tomografia em adultos de risco médio. Embora muitos pacientes se sintam “tranquilos” após o exame, o balanço entre risco e benefício geralmente não compensa quando não há sintomas.

2. Eletrocardiograma (ECG) de rotina — quando não há sintomas cardíacos, geralmente não ajuda
O ECG feito automaticamente em check-ups é outro item comum entre os exames de saúde a evitar em adultos saudáveis sem sintomas cardíacos (como dor no peito, falta de ar aos esforços ou palpitações relevantes) e sem fatores de risco importantes.
O problema é que o ECG pode mostrar alterações leves e inespecíficas que não significam doença, mas acabam desencadeando:
- novos exames (por exemplo, teste ergométrico, ecocardiograma)
- mais consultas e preocupação
- pouca mudança real na conduta em pessoas de baixo risco
Cardiologistas recomendam conversar sobre a necessidade do ECG no seu caso, em vez de fazê-lo apenas “por rotina”.
3. Escore de cálcio coronariano — evite quando o risco é baixo e não há indicação clara
O escore de cálcio pode ser útil para algumas pessoas ao refinar a avaliação de risco cardiovascular, mas frequentemente é citado como um dos exames de saúde a evitar em quem tem baixo risco de doença cardíaca. Ele também envolve radiação e pode induzir decisões precipitadas, como iniciar medicamentos sem real necessidade.
Em geral, especialistas sugerem que esse exame seja considerado apenas após decisão compartilhada com o médico, com base em fatores como histórico familiar, colesterol, pressão, diabetes e tabagismo. Para muitos adultos saudáveis, ele entra na lista de exames que não devem ser automáticos.

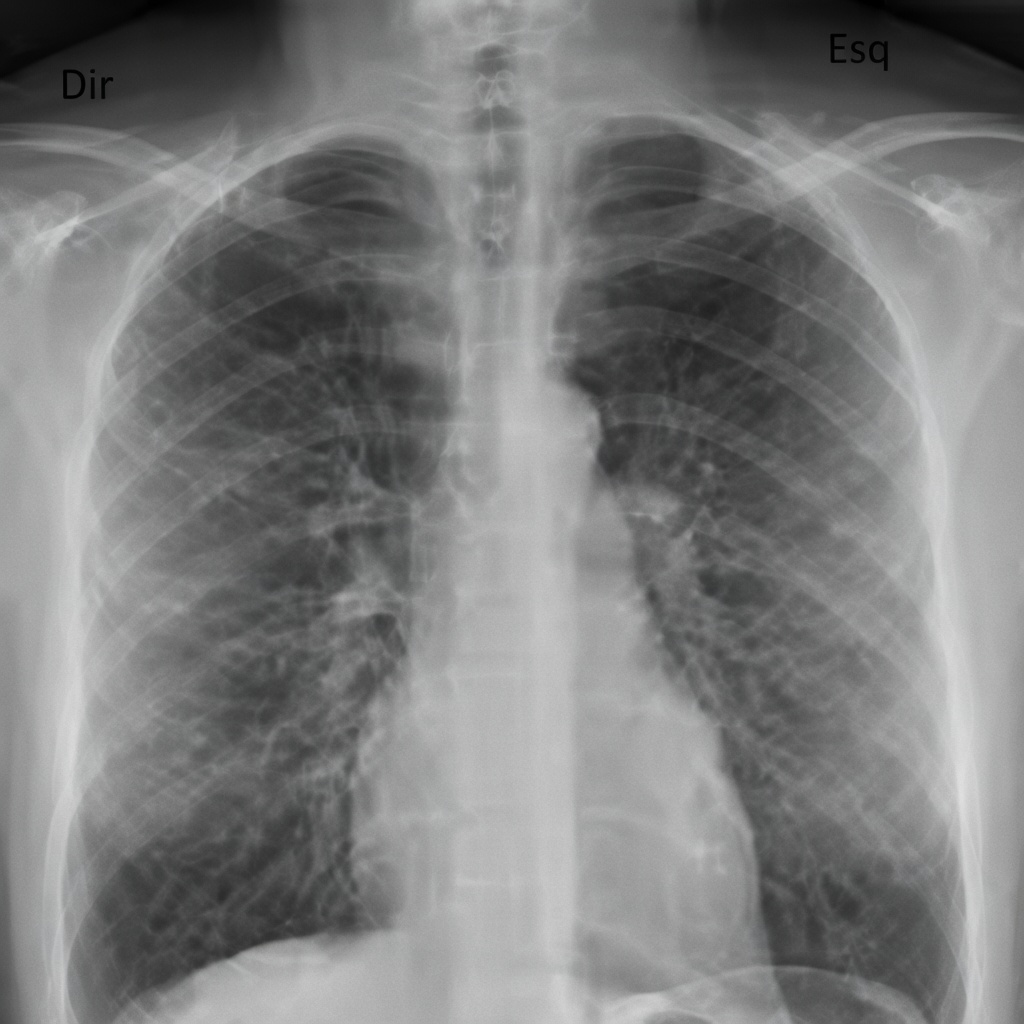
4. Raio-X de tórax de rotina — pouco útil em não fumantes sem sintomas respiratórios
O raio-X de tórax anual é um exemplo clássico de exame de saúde a evitar em pessoas que não fumam e não têm sintomas respiratórios (tosse persistente, falta de ar, dor torácica, febre prolongada). Ainda que a radiação seja menor do que a de uma tomografia, há dois pontos importantes:
- exposição desnecessária, mesmo que pequena
- risco de achados incidentais que não são perigosos, mas geram investigação
Diretrizes atuais de organizações médicas recomendam que o raio-X seja feito de forma direcionada (quando há indicação), e não como “check-up padrão”.
5. PSA de rotina para câncer de próstata — atenção especial em homens mais velhos sem sintomas
O exame de sangue PSA é frequentemente citado entre os exames de saúde a evitar de forma automática, especialmente em homens mais velhos sem sintomas urinários e sem histórico familiar forte. O PSA pode detectar tumores de crescimento tão lento que nunca causariam problemas — mas o resultado pode levar a:
- biópsias desnecessárias
- diagnósticos e tratamentos com risco de efeitos colaterais (por exemplo, disfunção erétil e incontinência)
A U.S. Preventive Services Task Force e muitos urologistas recomendam uma conversa cuidadosa sobre riscos e benefícios antes de decidir. Em vez de “fazer sempre”, a melhor abordagem costuma ser avaliar idade, saúde geral, preferências do paciente e fatores de risco.

Perguntas inteligentes para fazer antes de aceitar qualquer exame
Antes do seu check-up, leve um resumo simples com:
- sintomas (se existirem)
- histórico familiar relevante
- hábitos (tabagismo, atividade física, alimentação)
- medicamentos e condições prévias
Pergunte de forma direta: “Este exame é recomendado para alguém como eu ou é um daqueles exames que geralmente vale evitar?” Essa pergunta ajuda a reduzir testes desnecessários sem comprometer o cuidado essencial.
Hábitos que protegem mais do que muitos exames desnecessários
Para a maioria das pessoas, hábitos consistentes entregam mais resultados do que uma bateria ampla de exames:
- atividade física regular
- alimentação equilibrada
- sono adequado
- não fumar
- controle de estresse
E, quando indicado, medidas simples como pressão arterial e colesterol (com orientação médica) costumam ser mais úteis do que painéis amplos e exames de imagem sem indicação.
Aviso importante: quando esses exames podem ser necessários
Essas orientações se aplicam principalmente a pessoas sem sintomas e de risco médio/baixo. Se seu médico solicitar um exame com base no seu histórico, fatores de risco ou sinais clínicos, não ignore. O mais seguro é decidir após discutir seu quadro completo.
Conclusão: conhecer os 5 exames a evitar ajuda você a cuidar melhor da própria saúde
Entender quais são os cinco exames de saúde que geralmente vale evitar em check-ups de rotina ajuda você a participar ativamente das decisões e a reduzir ansiedade, radiação e procedimentos desnecessários. Embora muitos desses testes ainda sejam solicitados “no automático”, cada vez mais profissionais apoiam uma abordagem baseada em evidências e indicação real.
Na próxima consulta, comece perguntando quais exames fazem sentido para o seu perfil — e quais podem ser evitados com segurança.
Perguntas frequentes
Esses exames “a evitar” podem se tornar necessários em algum momento?
Sim. Eles podem ser valiosos quando existem sintomas, alterações clínicas ou fatores de risco elevados. O ponto é evitar o uso automático em pessoas saudáveis e de baixo risco.
Como lembrar quais são os exames que geralmente devo evitar?
Guarde esta lista e revise antes do check-up. Assim, você consegue fazer perguntas claras sobre necessidade, benefícios e possíveis consequências.
O seguro/convênio pode cobrir esses exames mesmo assim?
Depende do plano e do país, mas muitos pagadores têm seguido diretrizes clínicas e podem limitar cobertura quando o exame é considerado de baixo valor em casos de baixo risco.


