Saúde

7 Sinais de Alerta de AVC Lacunar que Passam Despercebidos em Pessoas com Mais de 60 Anos (A Maioria das Pessoas Não Percebe o Nº 4)

AVC lacunar: como pequenos “silêncios” no cérebro podem roubar a independência

Os AVCs lacunares lesionam, de forma discreta, pequenos vasos sanguíneos localizados nas regiões profundas do cérebro. Com o tempo, esse dano pode reduzir a mobilidade, prejudicar o raciocínio e dificultar uma vida independente. Muitas pessoas com mais de 60 anos interpretam mudanças sutis como “coisa da idade”, mas esses episódios podem se somar e resultar em uma perda significativa de autonomia.

Reconhecer sinais precoces de AVC lacunar cria a oportunidade de agir antes que o comprometimento se torne difícil (ou impossível) de reverter — e existe um sinal específico que quase todo mundo ignora.

7 Sinais de Alerta de AVC Lacunar que Passam Despercebidos em Pessoas com Mais de 60 Anos (A Maioria das Pessoas Não Percebe o Nº 4)

Por que o AVC lacunar é tão fácil de passar despercebido

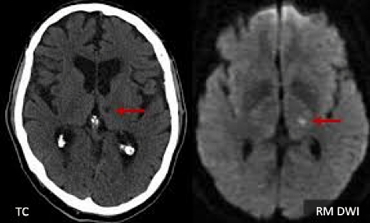
O AVC lacunar ocorre quando artérias minúsculas (algumas com diâmetro comparável ao de um fio de cabelo) ficam obstruídas dentro do cérebro. Diferentemente dos AVCs maiores, ele nem sempre causa sintomas dramáticos no início. Estudos relatados em publicações como Stroke e Neurology indicam que 20% a 30% dos adultos acima de 60 anos podem apresentar evidências de AVCs lacunares “silenciosos” em exames de imagem, mesmo sem sentir nada fora do comum.

Quando esses eventos se repetem, podem surgir pequenas cavidades (lacunas) em áreas essenciais como gânglios da base, tálamo e tractos de substância branca. A soma dessas lesões tende a afetar:

  • marcha e equilíbrio
  • memória e funções executivas (planejamento, atenção)
  • controle da bexiga

O resultado costuma ser uma perda gradual de confiança e independência — sem “alarmes” claros.

7 Sinais de Alerta de AVC Lacunar que Passam Despercebidos em Pessoas com Mais de 60 Anos (A Maioria das Pessoas Não Percebe o Nº 4)

Os 7 sinais de alerta de AVC lacunar que a maioria ignora

A seguir estão padrões que neurologistas frequentemente associam à doença de pequenos vasos e que merecem atenção, principalmente quando são novos, súbitos, ou aparecem “em degraus” (piora em etapas).

7) Dor súbita em queimação ou choque em um lado do corpo

Uma dor tipo pontada elétrica, ardor ou sensação de queimadura em um pé, mão ou em um lado do corpo pode ser intensa, chegando a tornar o toque leve insuportável. Isso pode ocorrer por síndrome de dor central, quando um AVC lacunar atinge o tálamo. Pesquisas apontam que 8% a 12% dos sobreviventes de AVC desenvolvem dor crônica desse tipo — e muitos passam meses investigando outras causas antes que uma imagem cerebral revele a origem.

7 Sinais de Alerta de AVC Lacunar que Passam Despercebidos em Pessoas com Mais de 60 Anos (A Maioria das Pessoas Não Percebe o Nº 4)

6) Dor abdominal ou no flanco muito forte, com exames “normais”

Em casos raros, uma dor intensa que parece cólica renal ou apendicite, mas com testes sem alterações, pode ser consequência de vias de dor desorganizadas após um AVC lacunar. Essa apresentação incomum costuma atrasar o diagnóstico enquanto o dano vascular subjacente continua.

5) Fraqueza ou falta de coordenação em um braço ou perna (mesmo que dure pouco)

Derrubar objetos, sentir a mão “desajeitada”, ter dificuldade para abotoar roupa ou perceber uma perna “pesada” que melhora rapidamente é um quadro clássico quando o AVC lacunar envolve vias motoras. Episódios transitórios frequentemente são atribuídos a cansaço, porém podem indicar risco ativo.

7 Sinais de Alerta de AVC Lacunar que Passam Despercebidos em Pessoas com Mais de 60 Anos (A Maioria das Pessoas Não Percebe o Nº 4)

4) Piora progressiva do equilíbrio e quedas sem explicação

Este é o sinal que quase sempre é colocado na conta do “envelhecimento”. Passos curtos e arrastados, dificuldade para virar, travamentos ao caminhar e tropeços frequentes podem sugerir parkinsonismo vascular, relacionado a múltiplos AVCs lacunares nos gânglios da base e na substância branca. Estimativas publicadas em Movement Disorders sugerem que até 30% dos casos de parkinsonismo em idosos podem ter origem vascular, e não ser a doença de Parkinson “típica”.

3) Urgência urinária e incontinência novas ou em piora

Começar a precisar ir ao banheiro toda hora, acordar várias vezes à noite ou ter escapes pode ser frustrante e constrangedor. Quando AVCs lacunares afetam conexões do lobo frontal com circuitos de controle vesical, o comando “segurar” fica comprometido. Estudos mostram taxas mais altas desses sintomas em pessoas com alterações extensas de pequenos vasos.

2) Pensamento mais lento, dificuldade de concentração e mudanças de personalidade

Dificuldade para organizar tarefas, reduzir a atenção e apresentar “achatamento emocional” pode surgir aos poucos. Ao contrário do padrão típico do Alzheimer, a comprometimento cognitivo vascular ligado a AVCs lacunares muitas vezes evolui em quedas por etapas, associadas a novos eventos.

7 Sinais de Alerta de AVC Lacunar que Passam Despercebidos em Pessoas com Mais de 60 Anos (A Maioria das Pessoas Não Percebe o Nº 4)

1) Episódios breves de confusão ou “neblina mental”

Momentos curtos de desorientação, confusão ou mente “nublada” que se resolvem rapidamente estão entre os primeiros sinais de alerta em alguns casos. Alterações transitórias em sistemas de alerta e atenção podem indicar risco de eventos futuros mais relevantes.

Medidas práticas para proteger a saúde do cérebro

Há ações baseadas em evidências que ajudam a reduzir a progressão da doença de pequenos vasos e o risco de novos eventos:

  • Manter a pressão arterial de forma consistente abaixo de 130/80 mmHg
  • Se houver fatores de risco vasculares, mirar LDL < 70 mg/dL (conforme avaliação médica)
  • Controlar rigorosamente a glicemia em caso de diabetes
  • Adotar um padrão alimentar estilo mediterrâneo (vegetais, peixe, nozes, azeite)
  • Caminhar e/ou fazer fortalecimento leve na maioria dos dias
  • Parar de fumar e reduzir álcool
  • Conversar com o médico sobre antiagregantes plaquetários quando indicado

Sinais de AVC lacunar vs. envelhecimento normal vs. outras condições

Aspeto Sinais de AVC lacunar Envelhecimento normal Outras condições (ex.: artrite, Alzheimer)
Início Episódios súbitos ou piora em “degraus” Muito gradual Geralmente gradual ou padrão diferente
Lateralidade Frequentemente unilateral Mais simétrico Variável
Características-chave Alterações de marcha/equilíbrio, urgência urinária, dor central Lentificação leve, esquecimentos ocasionais Dor articular, perda de memória primária, outros sinais específicos
Resposta ao controlo vascular Pode estabilizar ou desacelerar a progressão Benefício limitado Exige tratamentos direcionados conforme a causa
Imagem cerebral Pequenas lacunas e alterações de substância branca Alterações mínimas Padrões distintos (atrofia, placas, etc.)

Considerações finais

Identificar cedo os sinais frequentemente ignorados de AVC lacunar e procurar avaliação médica pode ser decisivo para preservar mobilidade, cognição e autonomia. Melhorias consistentes na saúde vascular — mesmo pequenas — tendem a gerar impacto real ao longo do tempo.

Perguntas frequentes

AVCs lacunares são a mesma coisa que AIT (TIA)?

Não. O AIT é temporário e, por definição, não deixa lesão permanente. Já o AVC lacunar causa pequenas áreas de dano duradouro, embora alguns sintomas possam melhorar.

É possível prevenir totalmente os AVCs lacunares?

Nem sempre. Porém, o controlo rigoroso de pressão arterial, colesterol, diabetes e hábitos de vida reduz o risco de forma significativa.

Quando procurar um médico por esses sintomas?

Qualquer sintoma neurológico novo ou em piora — especialmente se for súbito ou de um lado do corpo — requer avaliação rápida, incluindo conversa sobre exames de imagem cerebral quando apropriado.

Este conteúdo tem caráter informativo e não substitui aconselhamento médico profissional. Consulte sempre um profissional de saúde sobre sintomas ou preocupações.