Saúde

7 Sinais de Alerta de AVC Lacunar em Pessoas Acima de 60 Anos que Todos Ignoram (Especialmente o nº 4)

Sinais de alerta de AVC lacunar que podem roubar sua independência em silêncio

Os sinais de alerta de AVC lacunar costumam avançar devagar, sem desmaios dramáticos ou sintomas óbvios, enquanto tiram discretamente a autonomia de milhões de pessoas com mais de 60 anos. Você pode notar uma leve sensação de peso em uma perna, um momento rápido de “mente vazia”, ou um tropeço sem explicação que acaba sendo atribuído ao “envelhecer”, até que essas mudanças sutis se somam e começam a limitar sua mobilidade, clareza mental e liberdade no dia a dia. Ver tarefas simples ficarem cada vez mais difíceis, enquanto todos ao redor dizem que “é normal da idade”, pode gerar solidão, frustração e uma sensação de impotência.

A parte mais importante vem agora — siga até o fim para conhecer o 4º sinal de alerta de AVC lacunar que 90% das pessoas ignoram completamente, além de saber exatamente quando conversar com seu médico para ter mais tranquilidade.

7 Sinais de Alerta de AVC Lacunar em Pessoas Acima de 60 Anos que Todos Ignoram (Especialmente o nº 4)

Por que os sinais de alerta de AVC lacunar são tão perigosos — e tão fáceis de ignorar

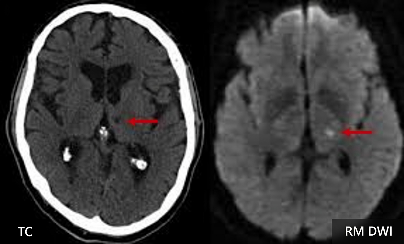
Os sinais de alerta de AVC lacunar surgem quando pequenas artérias nas regiões profundas do cérebro ficam obstruídas, formando minúsculas cavidades que lesionam áreas críticas como os núcleos da base e o tálamo. Muitos adultos acima dos 60 anos convivem com esses sinais por anos sem perceber, enquanto veem seu equilíbrio, atenção e foco diminuírem e culpam tudo por “lapsos da idade”.

O impacto emocional de perder o passo firme ou a memória afiada pode transformar prazeres simples, como cuidar do jardim ou conversar com os netos, em desafios diários. Estudos publicados em importantes revistas de neurologia mostram que esses sinais de alerta de AVC lacunar dobram o risco de problemas futuros quando passam despercebidos.

O que quase ninguém percebe é que reconhecer precocemente os sinais de alerta de AVC lacunar abre espaço para conversas importantes com o médico sobre a saúde dos vasos sanguíneos e do cérebro.

7 Sinais de Alerta de AVC Lacunar em Pessoas Acima de 60 Anos que Todos Ignoram (Especialmente o nº 4)

Sinal de Alerta nº 7: Dor aguda, em fisgada ou queimação em um pé, mão ou em um lado do corpo

Alguns sinais de alerta de AVC lacunar aparecem como uma dor de queimação ou choque elétrico em apenas um pé ou uma mão, sem qualquer trauma prévio. Até o toque leve do lençol pode se tornar insuportável, atrapalhando o sono e tornando a rotina diária um tormento para muitas pessoas acima de 60 anos.

Essa dor de origem talâmica, ligada a sinais de alerta de AVC lacunar, é frequentemente confundida com neuropatia, o que atrasa o diagnóstico e o tratamento adequados. Se você notar esse desconforto de um lado só, registre-o como um possível sinal de alerta de AVC lacunar e comente com seu médico.

Sinal de Alerta nº 6: Sensações estranhas no abdômen ou na lateral do corpo que imitam outros problemas

Em algumas situações, os sinais de alerta de AVC lacunar se manifestam como cólicas em ondas ou desconforto na lateral do tronco ou no abdômen, sem causa evidente. A preocupação constante, somada a idas repetidas ao consultório e exames normais, pode deixar a pessoa exausta e ansiosa.

Em casos raros, essas sensações “referidas” podem estar ligadas a sinais de alerta de AVC lacunar que interferem nas vias de transmissão da dor. Se todos os exames comuns estiverem normais, vale a pena perguntar a um neurologista se esses sintomas podem estar relacionados a sinais de alerta de AVC lacunar.

Sinal de Alerta nº 5: Fraqueza ou descoordenação súbita em uma mão ou perna

Muitos sinais de alerta de AVC lacunar começam com uma mão que, de repente, parece pesada ou uma perna que arrasta por alguns minutos. A irritação de deixar objetos caírem, tropeçar sem motivo claro ou culpar apenas o cansaço adiciona um estresse silencioso à rotina.

Esse padrão motor típico dos sinais de alerta de AVC lacunar pode ir e voltar, mas indica alterações reais nas áreas profundas do cérebro. Mesmo episódios rápidos merecem atenção como possíveis sinais de alerta de AVC lacunar.

7 Sinais de Alerta de AVC Lacunar em Pessoas Acima de 60 Anos que Todos Ignoram (Especialmente o nº 4)

Você já chegou na metade — continue, porque os próximos sinais de alerta de AVC lacunar são ainda mais decisivos.

Checagem rápida sobre sinais de alerta de AVC lacunar

  • Quão firme você se sente ao caminhar?
  • Notou alguma falta de coordenação recente em apenas um lado do corpo?
  • Preparado para conhecer o sinal de alerta de AVC lacunar mais negligenciado?

Sinal de Alerta nº 4: Dificuldade progressiva para manter o equilíbrio e caminhar, com quedas sem explicação

Um dos sinais de alerta de AVC lacunar mais subestimados é a mudança gradual na marcha: passos arrastados, sensação de que os pés “colam” no chão ou tropeços frequentes que, muitas vezes, são percebidos primeiro pela família. A vergonha e o medo de cair podem fazer você sair menos de casa, reduzindo sua vida social e autonomia pouco a pouco.

Esse padrão de marcha, principalmente em membros inferiores, associado a sinais de alerta de AVC lacunar (muitas vezes chamado de parkinsonismo vascular), é confundido com artrite em cerca de 90% dos casos. Anote com que frequência esses sinais de alerta de AVC lacunar aparecem e leve essas informações para sua próxima consulta.

Muita gente não percebe o quanto alterações urinárias se conectam a esses mesmos sinais de alerta de AVC lacunar.

Sinal de Alerta nº 3: Urgência urinária, aumento da frequência e incontinência

Os sinais de alerta de AVC lacunar podem afetar o controle da bexiga, causando corridas repentinas ao banheiro, aumento das idas noturnas ou episódios de perda urinária. A vergonha e a necessidade de planejar cada saída pensando em banheiros próximos fazem muitos adultos ativos acima de 60 anos se isolarem.

A lesão causada pelos sinais de alerta de AVC lacunar atinge vias frontais do cérebro, que normalmente ajudam a controlar esses impulsos. Se essas alterações urinárias são novas ou estão piorando, podem estar relacionadas a sinais de alerta de AVC lacunar.

Sinal de Alerta nº 2: Queda progressiva da memória, dificuldade de concentração e mudanças de personalidade

Os sinais de alerta de AVC lacunar costumam deixar o pensamento mais lento, prejudicar o planejamento e ainda provocar apatia ou afastamento da vida social. Ver uma mente antes rápida perder agilidade traz frustração profunda e medo sobre o futuro.

Essas alterações de “funções executivas” causadas por sinais de alerta de AVC lacunar são diferentes do envelhecimento típico e tendem a piorar em “degraus”, após cada pequeno evento silencioso. Notá-las logo no começo facilita conversar com o médico sobre possíveis sinais de alerta de AVC lacunar.

Sinal de Alerta nº 1: Episódios breves de confusão ou neblina mental

Os sinais de alerta de AVC lacunar podem se manifestar como momentos curtíssimos de desorientação ou pensamento “embaçado”, que passam rápido. A sensação assustadora de “onde eu estou?” por alguns minutos deixa muitas pessoas acima de 60 anos abaladas e inseguras.

Esses sinais de alerta de AVC lacunar, mesmo fugazes, indicam atividade em regiões profundas do cérebro e merecem avaliação precoce.

7 Sinais de Alerta de AVC Lacunar em Pessoas Acima de 60 Anos que Todos Ignoram (Especialmente o nº 4)

Passos simples para falar sobre sinais de alerta de AVC lacunar com seu médico

  • Registre semanalmente qualquer sinal de alerta de AVC lacunar em um caderno simples ou aplicativo.
  • Meça a pressão arterial com regularidade em casa e leve as anotações às consultas.
  • Pergunte sobre mudanças de estilo de vida que protejam a saúde vascular (alimentação, atividade física, sono).
  • Solicite uma revisão dos seus fatores de risco (pressão alta, diabetes, colesterol, tabagismo, histórico familiar) na próxima visita.

Sinais de alerta de AVC lacunar x envelhecimento normal x outras condições

Aspecto Sinais de alerta de AVC lacunar Envelhecimento típico Outras condições (ex.: artrite)
Início dos sintomas Súbito ou em “degraus” Lento e progressivo Geralmente gradual ou ligado ao esforço
Padrão dos sintomas Muitas vezes restrito a um lado ou função Lentidão geral Dor articular, perda de memória estável, etc.
Impacto no dia a dia Afeta mobilidade, foco e equilíbrio Leve redução de velocidade Dor ao se mover, rigidez, limitação específica
O que mais ajuda Discussão com médico + exames de imagem Ajustes simples no estilo de vida Tratamentos direcionados (físico, medicamentoso)

Considerações finais sobre sinais de alerta de AVC lacunar

Identificar cedo os sinais de alerta de AVC lacunar permite que você faça escolhas informadas e tenha conversas mais objetivas com seu médico sobre a saúde do seu cérebro e dos vasos sanguíneos. Imagine poder caminhar com mais segurança e pensar com mais clareza apenas por ficar atento a esses sinais de alerta de AVC lacunar e agir no momento certo.

Você chegou até o final — faz agora parte do grupo de pessoas que não só leem sobre sinais de alerta de AVC lacunar, como também se preparam para agir.

7 Sinais de Alerta de AVC Lacunar em Pessoas Acima de 60 Anos que Todos Ignoram (Especialmente o nº 4)

Perguntas frequentes (FAQ)

Quais são os sinais de alerta de AVC lacunar mais comuns em pessoas acima de 60 anos?
Os sinais de alerta de AVC lacunar mais frequentes incluem mudanças no equilíbrio, fraqueza em um lado do corpo e urgência urinária, que muitas vezes são confundidas com “coisas da idade”.

Há hábitos de vida que reduzem a chance de desenvolver sinais de alerta de AVC lacunar?
Sim. Manter-se fisicamente ativo, ter uma alimentação equilibrada, controlar a pressão arterial, não fumar e dormir bem ajuda a proteger o cérebro e pode diminuir o risco de surgirem sinais de alerta de AVC lacunar.

Quando devo falar com meu médico sobre possíveis sinais de alerta de AVC lacunar?
Sempre que perceber mudanças novas ou em piora na forma de caminhar, na memória, na concentração ou na sensibilidade de um lado do corpo, relate possíveis sinais de alerta de AVC lacunar ao seu médico para que ele oriente os próximos passos.


Este conteúdo tem caráter exclusivamente informativo e não substitui a avaliação ou orientação de profissionais de saúde. Em caso de sintomas, procure seu médico.

P.S.: Comece ainda nesta semana a registrar pelo menos um possível sinal de alerta de AVC lacunar. Esse hábito simples pode fazer uma grande diferença para manter sua autonomia e qualidade de vida no futuro.